手抖毛大夫 丁香医生 2022-10-28 12:07 发表于浙江
为什么医生总让「拍片子」?
看病就像破案,医疗界有了影像仪器,堪比《甄嬛传》里有了摄像头,冤假错案能少一大半。
各种影像学的目的其实是一样的——想方设法看到身体内部的样子。它们的出现直接终结了医学「隔皮猜瓜」的纪元。
就拿挑瓜打比方吧。我们去买瓜,只能看形状、颜色,敲一敲听听声音,问一问卖家这瓜甜不甜。一套下来,仍然有可能挑个不好的瓜。
但如果有影像学辅助,那就不一样了。
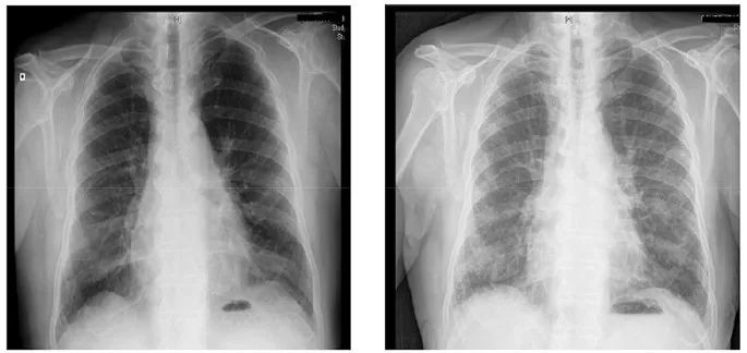
X 光检查,就是给瓜拍个透视照挑瓜:

图片来源:网络
CT 检查就是把瓜切成一片一片看瓤挑瓜:

图片来源:网络
磁共振检查,就是让瓜皮瓜瓤瓜子自己显形再挑瓜。

图片来源:Andy Ellison
这一套下来,瓜熟不熟,籽多不多,沙瓤还是脆瓤,基本都能看得清清楚楚,保你挑个水多籽少甜度高的好瓜。
看病其实也是类似的过程。
医生经过问诊、视诊、触诊、叩诊、听诊,仍然有很大的概率无法准确定位疾病。以前没办法,只能按经验先治治看看,治好了皆大欢喜,治不好自认倒霉。
而有了影像学手段的辅助,医生也有机会「看穿」各种不透明的组织器官,直观地看到病灶的病变程度,以近乎无创伤的方式获得非常接近于真实情况的信息。
而每一项检查技术都能提供不同的信息,像十八般兵器一样各有所长、各有所用。

图片来源:Pinterest
都被叫做「拍片子」
其实彼此间大有不同
1. X 线:用 X 光给身体拍张照片
X 线片就是用 X 光拍摄身体,像拍立得一样,「胶片」直接感光,即刻出片。
仪器发出来的 X 光,密度低的组织能穿透过去,密度高的则穿不过去,因此能在接收板上呈现出身体不同组织结构的信息。

图片来源:站酷海洛
经过仪器处理后,密度越大的组织,在照片上就越白,也就越显眼。

X 光下的牙齿
图片来源:站酷海洛
也正是由于 X 光片的这个特点,如今的 X 光片依然被最多用于骨骼、牙齿疾病的诊断以及各种介入治疗中,用于判断有无骨折、牙齿的状态、植入物的位置、以及体内有无结石、异物等高密度的物体等。
X 线也常用来看肺,正常肺里都是气体,密度低,在片子上是黑色的,有高密度的结节、钙化点会非常明显。
呼吸科还有个说法叫「白肺」,是指拍出来的片上肺变成大片白色,通常意味着情况危急,说明肺里面的炎症、渗出或者纤维化已经非常严重了。

图片来源:link.springer.com
不过,X 线也有很多不擅长的地方,像很多密度差别不大的组织,影像就不那么清晰了,在片子里各种皮肤、肌肉、血管堆叠到一起,很难分辨。
另外,病变长宽高具体是多少?靠胸侧还是靠背侧?周围有没有血管神经?如果手术的话从哪里开刀比较好,需要开多深?
这都需要 CT 来给出答案。
2. CT:用 X 光拍很多张照片,一层一层查
CT 也是利用 X 线透视人体,也是捕捉密度信息,只不过它「拍摄」的方式不太一样。
如果说从单一角度透视的 X 光片会让人观察某个结构的时候「横看成岭侧成峰」从而无法准确判断完整的形态,那么拍 CT 就相当让我们绕着「山峰」走一圈,从而对山峰的样子有更加准确的判断。
需要检查的患者要进入一个巨大的「甜甜圈」里:

图片来源:站酷海洛
这个「甜甜圈」的内部构造是这样的,每转动一个角度,机器就会捕捉一次影像,这样一来,它就能够全方位、各角度地掌握身体内部信息。

图片来源:giphy.com
通过复杂计算,它可以把人体的横断面图片展示出来:

一个二维世界的生物看咱们的身体,估计就是这样一片一片的。
图片来源:站酷海洛
然后接下的场面通常是,医生指着一坨黑黑白白的东西向患者讲解,患者若有所思(假装听懂了
)。

图片来源:站酷海洛
CT 的好处在于避免了层叠图像的干扰,图像更加清晰且分辨率高。它还可以合成一个三维立体图像,相当于给你的身体建个模,对于疾病诊断和手术规划可太重要了。

图片来源:站酷海洛
CT 即便如此强大,但依然有它的局限性,对于一些密度十分接近的软组织如脑、脊髓、肿瘤病灶,依然无法提供足够清晰的图像。
此外,X 线、CT 都是放射性检查,对于一些特殊人群(如孕妇)还是有一定风险的。好在,就在 CT 诞生的两年后,另一项划时代的医学影像技术诞生了——核磁共振成像(MRI)。
3. 核磁共振(MRI):让器官组织「自报家门」
这个技术的原理非常有趣,它利用了生命之源——水。
人体 60%~70% 的重量是水分,而各组织器官的含水量不同,很多疾病会导致组织的含水率和分布发生变化。如果有办法能反映出体内各部分的含水量、流动状态、是否正常,也就能知道是哪个地方出啥问题了。
科学家还真有办法。MRI 就是把身体置于合适的磁场中,发送一个信号,让身体内的水元素「稍息、立正、报数」(具体而言是水中的氢元素)。

图片来源:站酷海洛
不同含水量和流动状态的物体报出来「数」是不一样的,经机器掐指一算,就能绘制出这个部分的精确立体图。
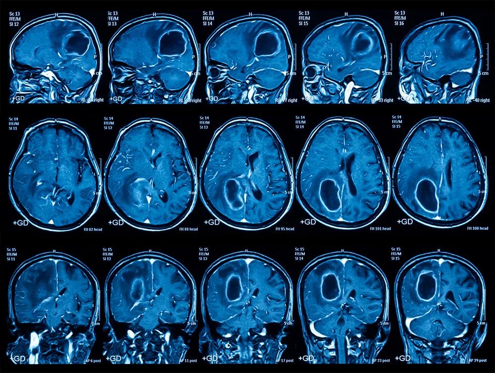
脑灰质、白质密度十分相近,却可以在 MRI 成像中对比鲜明,也能非常清晰地显示脑肿瘤。正因如此,MRI 通常是神经系统疾病的最佳选择。

图片来源:giphy.com

图片来源:站酷海洛
当然了,这只是 MRI 成像原理的最简单解释,它还有不同的不同的成像参数和成像序列图像,对应的含义也大不相同。一个会看 MRI 的医生,需要大量的经验积累和知识储备,一定没少为此头秃。
设备贵,医生培养难,检查的成本也就高了不少。
4. B 超:用超声波的反射快速检查
超声检查是用仪器发出超声波,然后用反射的回声来画像的检查方式。它是最为快捷、方便、低成本的检查手段,常常用于一些疾病的快速诊断,因为没有辐射成为孕检的标配。

图片来源:站酷海洛
但超声本身也有缺点,一些较深或有骨性结构遮挡的脏器难以检查,对图像的判断也很依赖医师经验。
了解了这些不同检查手段成像的原理,我们就能大致构建一个简化版的、从头到脚的医学影像学检查常用手段:

当然了,这里只是为了方便大家的理解进行的概括,实际的决策过程要比这个复杂的多。
对医生和患者来说,要不要拍片子,很多时候是风险与收益的权衡问题。进行检查就像「付出一定的代价,缩小一定的风险」。
希望这篇文章能让大家对检查的必要性有更多地了解,与医生沟通的时候也不会完全听得云里雾里啦~

图片来源:站酷海洛



雷达卡




京公网安备 11010802022788号







